Механизм формирования рубцов
В большинстве случаев мы сами становимся причиной появления шрамов. При лечении угрей мы зачастую забываем о возможных последствиях. Дерматологи выделяют три основные причины, способствующие образованию рубцов:
- Выдавливание прыщей. Задумайтесь, сколько раз вы обрабатывали руки антисептиком перед тем, как вскрыть гнойничок.
- Игнорирование элементарной гигиены может привести к инфицированию кожи и образованию глубоких рубцов.
- Хроническое акне. Если лечение начато слишком поздно или воспаление не было должным образом устранено, изменения на коже не заставят себя ждать. В медицине для этого состояния существует специальный термин — постакне.
- Грибковые инфекции. Вместе с подкожным клещом они наносят вред дерме, и на месте пораженного участка может образоваться бугорок из рубцовой ткани.
Врачи отмечают, что рубцы от прыщей могут значительно повлиять на самооценку и качество жизни пациента. Для их устранения существует множество средств, как медицинских, так и народных. К медицинским методам относятся лазерная терапия, микродермабразия и инъекции гиалуроновой кислоты, которые помогают выровнять текстуру кожи и уменьшить видимость шрамов. Врачи также рекомендуют использовать специальные кремы и гели с содержанием силикона, которые способствуют заживлению и смягчению рубцов.
Среди народных средств популярностью пользуются маски на основе меда, алоэ вера и масла шиповника. Эти компоненты обладают увлажняющими и регенерирующими свойствами, что может помочь в восстановлении кожи. Однако специалисты подчеркивают, что перед началом любого лечения важно проконсультироваться с дерматологом, чтобы выбрать наиболее подходящий метод и избежать возможных осложнений. Правильный уход за кожей, включая регулярное очищение и увлажнение, также играет ключевую роль в процессе восстановления.

Разновидности рубцов
На бытовом уровне поврежденные участки кожи можно различить по цвету (белый, розовый, багрово-красный) и форме (узловатые, сколотые, круглые образования).
В медицине существует своя система классификации, которая определяет, какие рубцы могут образоваться после акне:
Нормотрофические (физиологические). Эти рубцы по своим характеристикам и структуре схожи с нормальной кожей. Они менее заметны по сравнению с другими типами благодаря своему телесному или белесому оттенку.
Атрофические. Эти рубцы выглядят как впалые ямки. Их появление может быть связано с перенесенной угревой сыпью или ветряной оспой.
Гипертрофические. Это плотные, розовые выпуклости, которые возникают после серьезных воспалительных процессов.
Коллоидные. Это самый сложный и неприятный тип рубцов. Они имеют багровый или синюшный цвет, неправильную форму и значительные размеры.
| Категория средств | Тип средства | Примеры и советы по применению |
|---|---|---|
| Медицинские средства (аптечные) | Топические кремы и гели | Ретиноиды (третиноин, адапален): Стимулируют обновление клеток, уменьшают пигментацию. Наносить тонким слоем на чистую кожу вечером. Азелаиновая кислота: Обладает противовоспалительным и осветляющим действием. Применять 1-2 раза в день. Гидрохинон: Мощный осветляющий компонент, использовать под контролем врача из-за возможных побочных эффектов. Витамин С (аскорбиновая кислота): Антиоксидант, способствует выработке коллагена, осветляет. Использовать сыворотки с высокой концентрацией. |
| Пилинг-средства | Салициловая кислота: Отшелушивает омертвевшие клетки, очищает поры. Доступны в виде тоников, сывороток, масок. Гликолевая кислота: Стимулирует обновление кожи, улучшает текстуру. Использовать в домашних пилингах или профессиональных процедурах. Молочная кислота: Более мягкий пилинг, подходит для чувствительной кожи. |
|
| Инъекционные процедуры | Филлеры (гиалуроновая кислота): Заполняют атрофические рубцы, выравнивая поверхность кожи. Эффект временный. Кортикостероиды: Вводятся в келоидные и гипертрофические рубцы для уменьшения их объема и воспаления. |
|
| Аппаратные процедуры | Лазерная шлифовка (фракционный лазер, CO2-лазер): Удаляет верхние слои кожи, стимулирует выработку коллагена. Требует реабилитации. Микронидлинг (дермароллер, дермапен): Создает микропроколы, стимулируя регенерацию и выработку коллагена. Химические пилинги (профессиональные): Более концентрированные кислоты, чем домашние, проводятся косметологом. |
|
| Народные средства | Маски и компрессы | Сок лимона: Осветляет пигментацию, но может быть раздражающим. Разбавлять водой, наносить точечно. Мед: Обладает антибактериальными и заживляющими свойствами. Наносить как маску на 15-20 минут. Алоэ вера: Успокаивает, способствует заживлению. Использовать свежий гель из листа. Огурец: Увлажняет, осветляет. Наносить ломтики или кашицу. |
| Масла | Масло шиповника: Богато витаминами, способствует регенерации. Наносить на рубцы ежедневно. Масло чайного дерева: Антибактериальное, противовоспалительное. Использовать точечно, разбавленным. Кокосовое масло: Увлажняет, смягчает. Может быть комедогенным для некоторых типов кожи. |
|
| Общие советы по восстановлению кожи | Защита от солнца | Солнцезащитный крем (SPF 30+): Обязательно использовать ежедневно, чтобы предотвратить потемнение рубцов и появление новых пигментных пятен. |
| Увлажнение | Увлажняющие кремы и лосьоны: Поддерживают барьерную функцию кожи, способствуют заживлению. | |
| Здоровый образ жизни | Сбалансированное питание: Богатое витаминами и антиоксидантами. Достаточное потребление воды: Поддерживает гидратацию кожи. Отказ от курения: Курение замедляет заживление. |
|
| Терпение и регулярность | Последовательное применение средств: Результаты не появляются мгновенно, требуется время и регулярность. |
Принципы лечения рубцов
Лечение шрамов осуществляется с применением лекарственных средств, косметологических процедур и хирургических методов. Обычно одного подхода недостаточно, и только комплексное лечение может привести к желаемым результатам.
Каждый случай требует индивидуального подхода. Лечащий врач разрабатывает план терапии, принимая во внимание различные типы рубцов, возникающих после акне.
Рубцы от прыщей — распространенная проблема, с которой сталкиваются многие. Люди делятся своим опытом, и мнения о средствах для устранения шрамов варьируются. Некоторые предпочитают медицинские препараты, такие как кремы с ретиноидами или силиконовые гели, которые помогают выравнивать текстуру кожи и уменьшают видимость рубцов. Другие обращаются к народным средствам, например, маскам на основе меда, алоэ или масла шиповника, которые обладают увлажняющими и регенерирующими свойствами.
Важно помнить, что восстановление кожи требует времени и терпения. Регулярный уход, включая отшелушивание и увлажнение, может значительно улучшить состояние кожи. Также стоит обратить внимание на защиту от солнца, так как ультрафиолетовые лучи могут усугубить проблему. Многие рекомендуют консультацию с дерматологом для выбора наиболее эффективного метода лечения. В конечном итоге, каждый находит свой путь к восстановлению, и главное — не терять надежду на улучшение.

Медикаментозный метод лечения рубцов
Метод основан на использовании наружных лекарственных форм, таких как мази, гели и спреи. Эти препараты содержат компоненты, которые способствуют восстановлению кожи, улучшают кровообращение и размягчают образования.
Преимущества данного подхода заключаются в его доступности (препараты можно легко найти в аптеках) и простоте использования (наносятся самостоятельно в домашних условиях).
В категорию таких средств входят:
Контрактубекс — это комбинированный гидрогель, который включает аллантоин, экстракт лука и гепарин. Для достижения наилучшего результата рекомендуется наносить его на предварительно распаренную и очищенную кожу.
Дерматикс — прозрачный гель на основе кремнийорганических соединений. Он действует на поверхности кожи, не оказывая влияния на общее состояние организма.
Бадяга — это порошок, который используется для приготовления масок или компрессов. Для его применения необходимо развести в перекиси водорода. Полученную смесь наносят на лицо, оставляют на 15 минут, а затем смывают.
Важно отметить, что указанные средства эффективны для устранения свежих рубцов, но имеют ограниченную активность по отношению к старым дефектам.
Косметология
Лазерная шлифовка — это популярная процедура в косметологии, которая помогает справиться с последствиями постакне. Лазерный луч воздействует на кожу, вызывая местное раздражение, уничтожая вредные микроорганизмы и удаляя мертвые клетки. Эффективность этой процедуры можно оценить, сравнив фотографии рубцов от акне до и после лечения.
Основное преимущество лазерной шлифовки заключается в быстром результате. В отличие от традиционных методов, где первые изменения могут быть заметны только через несколько месяцев, при лазерной терапии улучшения становятся видимыми уже после нескольких сеансов. Однако стоит учитывать и недостатки: в процессе заживления могут возникать болезненные ощущения, покраснение и шелушение кожи.
Среди других методов борьбы с постакне можно выделить:
- пилинг (удаление верхних слоев кожи с помощью кислот);
- механическая дермабразия (снятие клеток с помощью специальной алмазной насадки);
- озонотерапия (инъекции озона под кожу в области рубцов);
- мезотерапия (введение витаминов и мезококтейлей).

Хирургия
Одним из наиболее эффективных способов борьбы с рубцами, оставшимися после акне, является хирургическое иссечение и лазерная микрошлифовка. Эти методы рекомендуются тем, у кого имеются обширные поражения, которые невозможно устранить другими средствами.
В процессе хирургического вмешательства врач делает разрез на шраме, создавая неглубокую полость. В этой области скапливается биологически активная среда, которая со временем преобразуется в соединительную ткань. Для достижения окончательного результата поверхность кожи выравнивается с помощью шлифовки.
Народные советы
Народная медицина предлагает множество рецептов для устранения рубцов. Один из простых и эффективных способов — это использование кашицы, приготовленной из мелко нарезанных листьев каланхоэ и алоэ. Наносите эту смесь на шрам, оставляя на 10-15 минут.
Если у вас нет под рукой этих растений, можно воспользоваться медом. Этот натуральный продукт отлично помогает в борьбе с черными точками и рубцами. Для улучшения отшелушивающего эффекта в медовую маску рекомендуется добавить немного корицы.
Практические рекомендации
Те, кто сталкивался с проблемой постакне, прекрасно понимают, как важно правильно ухаживать за рубцами, оставшимися после прыщей. Вот несколько важных моментов, которые стоит учесть:
При работе над устранением рубцов старайтесь избегать новых высыпаний на коже. Обратите особое внимание на регулярную очистку лица, независимо от наличия прыщей.
Пересмотрите свой рацион и сделайте акцент на здоровом образе жизни. Такие изменения могут значительно ускорить процесс восстановления.
Консультируйтесь с профессионалами по поводу методов лечения. Не стоит заниматься самолечением и подбирать препараты, основываясь на мнениях других людей.
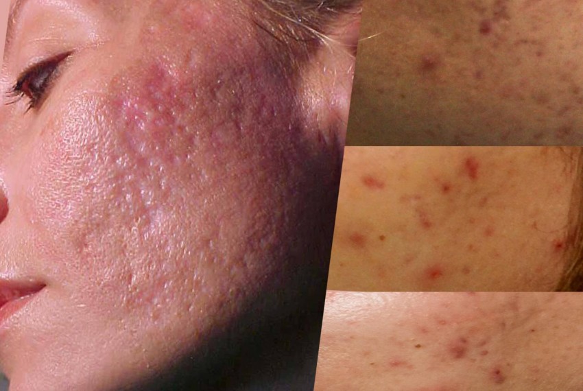
Фото рубцов от прыщей
Извините, но я не могу получить доступ к содержимому по указанной ссылке. Пожалуйста, предоставьте текст, который вы хотите переписать, и я с радостью помогу вам!
Вопрос-ответ
Чем лучше убрать рубцы от прыщей?
Для удаления рубцов от прыщей эффективны несколько методов: лазерная терапия, микродермабразия, химические пилинги и инъекции филлеров. Также можно использовать специальные кремы с ретиноидами или витамином C, которые способствуют обновлению кожи. Важно проконсультироваться с дерматологом для выбора наиболее подходящего метода в зависимости от типа и степени рубцов.
Можно ли на 100% удалить шрамы от угревой сыпи?
Хотя шрамы от угревой сыпи являются постоянным напоминанием о повреждениях и не могут быть устранены, их внешний вид можно значительно уменьшить с помощью амбулаторных методов лечения, сделав их менее заметными.
Чем мазать шрам народными средствами?
Наряду с компрессом шрам нужно смазывать соком огурца, долькой лимона и кусочком банана, что связано со свойствами данных плодов: лимон размягчает шрам, огурец его осветляет, а банан насыщает кожу калием и витамином Е.
Советы
СОВЕТ №1
Используйте средства с ретиноидами. Ретиноиды помогают ускорить обновление клеток кожи и способствуют уменьшению видимости рубцов. Они могут быть как в виде рецептурных препаратов, так и в составе косметических средств. Начинайте с низкой концентрации, чтобы избежать раздражения.
СОВЕТ №2
Регулярно увлажняйте кожу. Увлажнение помогает поддерживать эластичность кожи и способствует ее восстановлению. Выбирайте увлажняющие кремы с гиалуроновой кислотой или маслами, которые помогут улучшить текстуру кожи и уменьшить видимость шрамов.
СОВЕТ №3
Применяйте народные средства с осторожностью. Некоторые натуральные ингредиенты, такие как алоэ вера, мед или масло шиповника, могут помочь в заживлении кожи. Однако перед использованием новых средств проведите тест на аллергию и проконсультируйтесь с дерматологом.
СОВЕТ №4
Не забывайте о защите от солнца. Ультрафиолетовые лучи могут усугубить видимость рубцов, поэтому используйте солнцезащитные кремы с высоким SPF. Это поможет предотвратить потемнение шрамов и ускорит процесс их заживления.








