Пневмония является весьма частой патологией у деток, которые родились раньше положенного срока. Почему у таких малышей может развиваться данное заболевание, как его лечат и можно ли предотвратить его появление у малютки?
Особенности
- Врожденные пневмонии у недоношенных встречаются намного чаще, чем у детей, родившихся в срок.
- Частота аспирационных пневмоний у таких детей также повышена из-за их склонности к срыгиваниям.
- Заболевание зачастую сочетается с проблемами кровообращения, кишечной инфекцией, гемолитической болезнью и другими патологиями.
- Острый период заболевания у рожденных раньше срока деток длится дольше.
- Доминирующими симптомами при недуге у новорожденных являются проявления дыхательной недостаточности и интоксикации.
- Лихорадка у недоношенных встречается реже гипотермии.
- Очень часто возникают осложнения, которые могут быть и внелегочными.
- Пневмония при недоношенности часто приводит к развитию сепсиса.
Причины
Воспаление легких у недоношенных младенцев вызывают бактерии, паразиты, грибки или вирусы. Их попаданию в дыхательные пути малютки способствуют разные факторы, среди которых основными называют незрелость легких, аспирацию во время родов, инфекции в период внутриутробного развития и ОРВИ.
Альвеолы в легких младенца, который родился раньше положенного времени, в основном бывают недостаточно расправленными, а сурфактант может быть некачественным или незрелым. Кроме того , у таких деток в легких сразу после родов нарушаются обменные процессы и наблюдаются расстройства кровообращения.
Что касается предрасполагающих факторов, то появление пневмонии у малышей, рожденных раньше срока, может быть спровоцировано:
- Кесаревым сечением.
- Проблемами с вынашиванием, которые привели к гипоксии либо к асфиксии.
- Инфекционными болезнями у беременной, поражающими дыхательную или мочеполовую систему.
- Наследственными болезнями дыхательной системы (пневмопатиями).
- Поражениями ЦНС ребенка, а также родовыми травмами, затронувшими спинной или головной мозг.
- Реанимационными мероприятиями во время родов.
- Пороками развития у малыша.
- Неправильным уходом за малюткой, например, длительным пребыванием крохи в одном положении, плохим проветриванием помещения, переохлаждением младенца или его перегреванием.
- Плохими санитарно-эпидемиологическими условиями в роддоме.
Паразитарные пневмонии у деток, родившихся недоношенными, чаще всего вызваны пневмоцистами, которые могут попасть к малютке от больного человека или носителя (нередко от персонала в роддоме).
Грибковые пневмонии, которые чаще всего вызывают кандиды, появляются вследствие кандидоза у матери или как результат нерационального лечения недоношенного антибиотиками широкого спектра.
Формы пневмонии
В зависимости от причины и обстоятельств, способствовавших возникновению воспаления легких, пневмония бывает:
- Врожденной. Малыш заражается трансплацентарно, то есть от мамы возбудитель попадает в организм крохи через плаценту. Чаще всего это пневмонии, вызванные вирусом краснухи, цитомегаловирусом, токсоплазмами, листериями, вирусом герпеса, микоплазмами и другими возбудителями.
- Антенатальной. Ребенок заражается во время родов, когда проходит через инфицированные родовые пути либо в его легкие попадают околоплодные воды, содержащие возбудитель. Обычно такие пневмонии вызывают микоплазмы, стрептококки, гемофильные палочки, кандиды, трихомонады, уреаплазмы, листерии, туберкулезные палочки, вирусы герпеса, хламидии и другие инфекционные агенты.
- Постнатальной. Кроха заражается после родов в стационаре или дома. Такие воспаления в основном вызываются клебсиеллами, кишечной палочкой, золотистым стафилококком, протеем, синегнойной палочкой, энтеробактерами и другими возбудителями.
Симптомы
В начале заболевания неспецифические признаки могут преобладать. Общее состояние младенца ухудшается, вес тела может резко изменяться из-за появления отеков. Также пневмония может проявляться:
- Субфебрильной или пониженной температурой.
- Заторможенностью.
- Плохим сосанием.
- Раздражительностью.
- Бледностью кожи.
- Вздутием живота.
Далее к такой симптоматике присоединяются расстройства дыхания. Малыш начинает дышать часто, крылья носа раздуваются, становятся слышны хрипы, появляются приступы апноэ, периодического дыхания, покашливание, наблюдаются западения промежутков между ребрами, частота сокращений сердца увеличивается, изо рта может выделяться пенистая слизь.
Диагностика
Чтобы выявить у недоношенного ребенка пневмонию, используют:
- Анамнестические данные.
- Клиническую картину.
- Рентген-обследование. На рентгенограмме в местах воспаления обнаруживают затемнения.
- Лабораторные данные. В крови ребенка с пневмонией будет отмечено палочкоядерный сдвиг, снижение гемоглобина, уменьшение числа тромбоцитов, лейкопению. Помимо клинического анализа крови деткам с подозрением на пневмонию назначают вирусологическое или бактериологическое обследование, анализ мочи и исследование газового состава крови.
Лечение
Пневмонию у родившихся раньше срока деток лечат только в условиях стационара. При этом малыши должны пребывать в специальных отделениях в палатах интенсивной терапии, а мама находится рядом с крохой и помогает ухаживать за младенцем.
Новорожденный должен пребывать в оптимальных для него условиях, чтобы не допустить ни перегревания, ни переохлаждения малыша. В течение дня положение ребенка часто меняют, а одежда должна не стеснять движений малютки. Вид вскармливания и объем получаемого питания определяет врач с учетом состояния младенца, но зачастую деткам с пневмонией питательные вещества вводят парентерально.
Особенно важны в лечении такого недуга новорожденных такие методы:
- Антибактериальные препараты. В первые дни антибиотик подбирают наугад, используя средства широкого спектра. Как только получают результаты посева и антибиотикограммы, назначают препарат, к которому чувствителен возбудитель. Лекарство вводится парентерально.
- Кислородотерапия. Малышу дозировано подают 35% подогретый кислород, используя маску, катетер или другие приспособления.
- Пассивная иммунизация. Младенцу назначают введение иммуноглобулинов и плазмы.
- Другие лекарства по показаниям. Если это требуется, ребенку дают лекарства для сердца, пробиотики, бронхолитики, глюкокортикоиды и другие медикаменты.
Некоторым малышам назначается бронхоскопия для санации легких. Многим деткам рекомендуют выполнять массаж – как общий, так и вибрационный.
Возможные последствия и осложнения
Воспаление легких у недоношенного младенца может осложняться ателектазом, плевритом, пневмотораксом и другими патологиями легких. Среди внелегочных осложнений у деток, родившихся раньше срока, нередко диагностируют гипотрофию, отит, расстройства гемодинамики, склерему, недостаточность надпочечников, кровотечения, а также разные метаболические расстройства. Одним из самых опасных осложнений пневмонии недоношенного ребенка выступает сепсис.
У малышей, перенесших пневмонию, возрастает риск появления анемии, молочницы и рахита. Кроме того, у многих деток после пневмонии развивается бронхолегочная дисплазия, которая становится причиной рецидивирующих болезней легких и бронхов.
Профилактика
Чтобы предотвратить пневмонию у недоношенного малыша, важно устранить провоцирующие заболевание факторы:
- Будущей маме следует следить за своим здоровьем и своевременно лечить инфекции.
- В родильном доме и детских больницах важно строго соблюдать санитарно-эпидемиологический режим.
- Родившемуся с асфиксией новорожденному следует проводить своевременные и правильные реанимационные мероприятия.
- Малышей следует сразу после родов прикладывать к груди и вскармливать женским молоком.
- Если у новорожденного, появившегося на свет раньше срока, имеются расстройства дыхания, а также есть предрасполагающие факторы (сложные роды, болезни матери и другие), целесообразно сразу после родов назначить антибиотик.
- В домашних условиях нужно следить за гигиеной, микроклиматом и режимом дня новорожденного.
Новорожденный малыш особенно уязвим перед внешними раздражителями. Особенно это касается детей, появившихся на свет раньше срока. У них существует высокий риск заражения инфекционными и вирусными заболеваниями, которые приводят к ряду проблем, в том числе и воспалению легких.
Пневмония у недоношенных детей протекает более тяжело и представляет угрозу для жизни и здоровья крохи при несвоевременном лечении. Прогнозы на успешное выздоровление будут зависеть от умелых действий родителей и медицинского персонала.
Почему возникает и откуда берется
Основная причина развития пневмонии (или воспаления легких) у грудничков – особенности строения дыхательной системы.
Основные факторы, способствующие развитию патологического процесса:
- недостаточная вентиляция легких;
- неполное расправление альвеол.
К другим причинам возникновения пневмонии у недоношенных детей относят:
- неграмотный уход за ребенком в родильном доме;
- плохие санитарные условия содержания;
- поражение участков головного мозга или ЦНС;
- генетическую предрасположенность к заболеванию;
- сложное течение беременности, сопровождавшееся гипоксией и асфиксией;
- наличие у матери половых инфекций;
- внутричерепные травмы;
- родоразрешение посредством кесарева сечения.
В среднем у 15% недоношенных малышей наблюдается пневмонией той или иной формы.
Признаки и симптомы
У детей, появившихся на свет раньше времени, признаки воспаления легких проявляются ярче, чем у малышей, родившихся в срок.
Пневмония у недоношенного ребенка проявляется:
- нарушением или полным отсутствием врожденных рефлексов ( глотательных, сосательных, хватательных);
- бледностью кожи;
- проблемами с пищеварением, характеризующимися частым срыгиванием, вздутием живота или рвотой;
- пониженной температурой тела (реже наблюдается гипертермия);
- впадением грудной клетки;
- дыханием с хрипами и свистами;
- нарушением сердечного ритма;
- приступами асфиксии (остановки дыхания).
У рассматриваемой группы малышей пневмония чаще переходит в тяжелые формы течения и осложняется летальным исходом.
Рассмотрим основные сходства и различия симптоматики воспаления легких у недоношенных и вовремя появившихся на свет детей:
| Признак | Недоношенный младенец | Доношенный младенец |
| Повышение температуры тела | Наблюдается редко | Наблюдается часто |
| Дыхательная недостаточность | Имеется | Отмечается только в случаях тяжелого течения |
| Легочное и внелегочное осложнение пневмонии | Имеется | Отмечается только в случаях тяжелого течения |
| Рахит и анемия | Отмечается | Не отмечается |
| Жесткость дыхания | Имеется | Имеется |
| Непродуктивный кашель | Имеется | Имеется |
Пневмония у недоношенных детей тяжелее поддается излечению из-за незрелости их иммунной системы, которая не в силах справляться с болезнетворными микроорганизмами.
Последствия и прогнозы
Риск развития осложнений после пневмонии и успех выздоровления после перенесенного заболевания во многом зависит от своевременности предпринятых лечебных мероприятий.
Частые осложнения
К частым последствиям воспаления легких у преждевременно родившихся малышей относят:
- плеврит;
- легочную недостаточность;
- изменение структуры органов дыхательной системы;
- плевмоторакс.
Чем опасна
Список негативных последствий внелегочного характера:
- поражение клеток ЦНС;
- сепсис;
- внутренние кровотечения;
- нарушение работы надпочечников;
- воспалительные заболевания лор – органов;
- сердечная недостаточность.
Перечисленные осложнения опасны летальным исходом.
Смертность детей от пневмонии возрастает при несформированности иммунитета, сильной недоношенности (до 28 недель) и тяжелой гипертрофии.
Выживают ли
Пневмония успешно лечится у недоношенных малышей при своевременно начатых терапевтических мероприятиях. Однако после о лечения малыш будет подлежать диспансерному наблюдению в течение 1 года.
В первые 6 месяцев после перенесенного заболевания родители должны будут сдавать ряд анализов крохи (кровь, мочу) и показывать малыша пульмонологу. Эти мероприятия позволят предупредить осложнения на фоне воспаления и позволят вовремя распознать повторное обострение патологии.
Формы и особенности течения
Выделяют несколько форм пневмонии у новорожденных, в зависимости от причины развития нарушения и времени его возникновения после появления ребенка на свет
Врожденная
Врожденное воспаление легких диагностируется в основном у недоношенных малышей. Дети, появившиеся в срок, могут заболеть пневмонией только при условии наследственной предрасположенности или иммунодефицита.
Возбудитель врожденной формы нарушения – пневмоциста Карини.
Инкубационный период составляет от нескольких недель до 1 месяца.
Врожденная пневмония протекает в 2 стадиях, для каждой из которых характерна отличительная симптоматика:
| Стадия | Симптомы |
| 1 стадия продолжительностью 1-2 недели от появления первых симптомов патологии | Наличие умеренной одышки и плохого аппетита, частый водянистый стул, непродуктивное покашливание |
| 2 стадия продолжительностью 2-4 недели | Резко выраженная одышка с повышением ЧДД до 140 дыханий в минуту, незначительные хрипы в грудной клетке или их отсутствие, увеличение внутренних органов в размерах, изменение цвета кожных покровов |
Недоношенный ребенок может умереть еще на первой стадии врожденной пневмонии из-за сердечной недостаточности и патологических изменений в структуре дыхательной системы. Летальный исход наступает при условии отсутствия квалифицированной помощи.
Антенатальная
Патология возникает после кесарева сечения из-за инфицирования ребенка вирусными бактериальными или грибковыми агентами. Антенатальная пневмония в запущенной форме приводит к гибели малыша.
Особенно опасно заболевание, вызванное стрептококками. Возбудитель приводит к формированию в дыхательной системе гнойных очагов, которые при прорыве наружу становятся причиной заражения крови.
Справиться с последствием воспаления легких у недоношенных будет сложно даже с помощью антибиотиков.
Постнатальная
Постнатальная пневмония у новорожденного недоношенного малыша отличается скрытым течением. Признаки воспалительного процесса проявляются через несколько дней или недель.
При внимательном наблюдении за ребенком можно обнаружить первые признаки нарушения, нехарактерные для пневмонии:
- вялость;
- частые срыгивания;
- отсутствие аппетита.
Повышение температуры при постнатальной форме нарушения отсутствует, что связано с низкой иммунологической реактивностью организма малыша.
После ИВЛ
Искусственная вентиляция легких назначается ребенку, который сам не дышит. Основная причина развития пневмонии после ИВЛ – проникновение в легкие малыша тех же возбудителей, что и при врожденной форме заболевания.
Патология возникает из-за попадания болезнетворной флоры из носоглотки и ротовой полости малыша в дыхательную систему.
Воспаление легких после ИВ отличается стремительным течением и невыраженной клинической картиной.
Заподозрить заболевание у ребенка без специальных исследований трудно, даже при тяжелых формах нарушения.
К списку ведущих признаков нарушения относят:
- кислородозависимость, в результате которой увеличивается срок проведения аппаратной вентиляции легких;
- интоксикацию организма.
У глубоко недоношенных детей
Глубоко недоношенными считаются дети с массой тела менее 1500г. Воспаление легких у них могут вызвать энтеровирусы и возбудители ветряной оспы.
Признаки развивающегося нарушения:
- отсутствие или слабый крик;
- затрудненное дыхание;
- увеличение внутренних органов;
- сухость кожи;
- хрипы в грудной клетке при прослушивании;
- наличие геморрагической сыпи на поверхности на теле.
Двухсторонняя
Причина двусторонней формы пневмонии у недоношенных – заражение инфекцией во внутриутробном периоде. Бактерии активно размножаются в дыхательных путях малыша из-за недостаточной вентиляции легких. Несвоевременные меры в подавляющем большинстве случаях становятся причиной смерти малыша.
Двухстороннее воспаление легких у новорожденного сложно не заметить, так как оно проявляется яркой симптоматикой:
- значительным повышением температуры;
- обильными срыгиваниями и рвотой;
- изнурительным кашлем;
- цианозом кожи;
- слезоточивостью;
- дыханием с хрипами;
- потерей аппетита;
- чрезмерным потоотделением.
Малышей с диагностированной двусторонней пневмонией лечат в реанимации, так как эта форма заболевания считается наиболее опасной из всех вышеперечисленных.
Диагностика
Выявить пневмонию у недоношенных младенцев врачам позволяют лабораторные и инструментальные обследования.
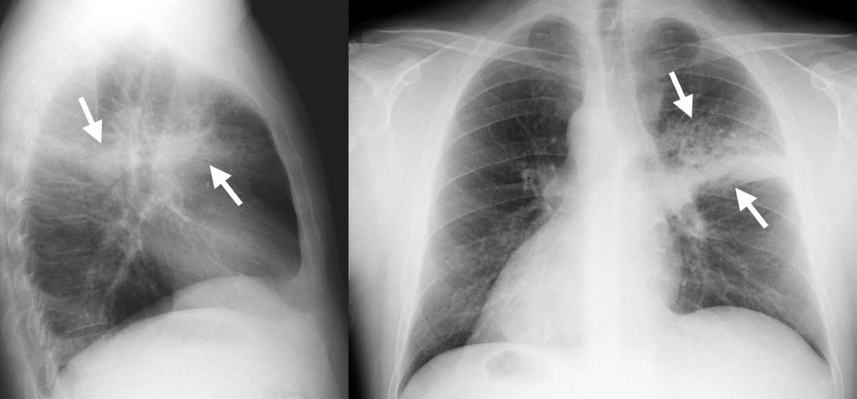
Основную роль в постановке окончательного диагноза отводят рентгену грудной клетки.
Пневмония на рентгеновском снимке
На снимках, полученных после рентгенологического исследования, отмечается усиленный сосудистый рисунок, участки потемнения легочной ткани и рассеянная перибронхиальная инфильтрация.
Если у врачей имеются сомнения в диагнозе, то они назначают малышу обследование сердца, которое исключит или подтвердит наличие предрасполагающих к воспалению легких факторов.
Для определения возбудителя заболевания у ребенка берется кровь. Дополнительно биологический материал обследуется на чувствительность болезнетворной флоры к антибиотикам.
Лечение
Острая стадия пневмонии, не осложненная другими заболеваниями, при грамотных действиях врачей и родителей проходит за 2 недели. Время терапии может затянуться из-за несовершенности иммунитета младенцев.
Какие препараты входят в курс лечения
Основные средства, используемые для лечения пневмонии бактериального происхождения – антибиотики из группы цефалоспоринов или аминогликозидов. После получения результатов обследования препараты широкого спектра действия могут быть заменены другими антибактериальными средствами.
Для лечения недоношенных детей используется ½ дозировки антибиотика, положенная для родившихся в срок детей. Препараты вводятся малышу только внутримышечно.
Для терапии недоношенных малышей запрещается использовать некоторые виды антибактериальных медикаментов:
- левомицетин – пагубно влияет на костный мозг;
- мономицин, стрептомицин – оказывает токсическое воздействие на органы слуха.
Пассивная иммунизация
Процедура необходима для выработки иммунитета у детей против возбудителей пневмонии. Препарат, вводимый малышам, содержит антитела к вирусам и бактериям– иммуноглобулин.
Если пневмония у недоношенных детей имеет вирусную природу, то для ее лечения используют Реаферон, Виферон или Генферон. Также допускается применение иммуномодулирующих средств – Ликопида, Бронхомунала, Рибомунила.
Сколько лежали в больнице
Как долго длится стационарное лечение? Время выздоровления недоношенных младенцев от нескольких факторов:
- тяжести нарушения;
- своевременности начатых терапевтических процедур;
- наличия сопутствующих соматических заболеваний;
- общего состояния здоровья пациента;
- вида возбудителя.
Воспаление легких в легкой стадии лечится с помощью антибиотиков 7-15 дней, среднетяжелая – до 10-21 день, тяжелая – от 2 до 8 недель. Чем дольше длится заболевание, тем тяжелее ребенку будет избежать внутрибольничной формы пневмонии.
В лечебных учреждениях присутствует своя микрофлора, которая устойчива к лекарственным средствам из-за постоянной дезинфекции помещений. Если стойкие виды бактерий попадут в организм малыша, то лечение пневмонии может затянуться на неопределенный срок.
Питание и уход
Лечение пневмонии у грудничка проводится в отдельном боксе для того, чтобы предупредить распространение инфекции в медицинском учреждении. Малыша одевают в просторную одежду.
Тугое пеленание в этом случае считается недопустимым.
В течение дня маме и медицинскому персоналу необходимо будет регулярно менять положение тела младенца, проветривать и кварцевать помещение, в котором ребенок находится.
Кормление больного проводится через зонд грудным молоком. После улучшения состояния кроху переводят на естественное вскармливание.
После каждого приема пищи малыша удерживают столбиком для профилактики срыгивания. Избегают перекладывания ребенка на спину или живот, в этом случае он может задохнуться от нехватки кислорода или подавиться молоком во время срыгивания.
Для обеспечения нормального дыхания трижды в день проводят гигиену носоглотки младенца с откачивание слизи из носа.
Наша история
У одного из моих недоношенных мальчиков-двойняшек тоже после родов была выявлена двухсторонняя пневмония. Причина заключалась в нахождении ребенка без околоплодных вод в течение двух суток. А конкретного возбудителя пневмонии так и не выявили, хотя мы с ним были обследованы от и до.
Я родила днем, а вечером ребенка перевели на ИВЛ, ввели его в искусственную кому. Примерно 5 дней он был с угнетенным сознанием, я ходила 2 раза в день в реанимацию, разрешали его гладить, засовывая руки в отверстия в кювезе. Описать состояние матери, когда ты видишь ребенка в таком виде, словами невозможно ((
Прогнозов нам не давали, после наряду с пневмонией был выставлен диагноз миокардита. Говорили, что ребенок очень тяжелый. На 5-6 день его потихоньку начали выводить из комы, он стал более активным, начал возмущаться по поводу того, что его часто беспокоят, пинался, крутился)) С ИВЛ сняли, но питание оставалось зондовым и он продолжал лежать в реанимации. В общей сложности, этот период составил 10 дней.
Затем ребенка перевели на второй этап, и еще там мы провели 3 недели. Примерно неделю он иногда нестабильно дышал (в палате находился экран и датчики кислорода), потом все успокоилось. Сняли зонд и малыш начал кушать сам.
Сейчас детям 7 лет и никаких последствий пневмонии у Сережи нет. Все сопутствующие диагнозы сняли после года. Так что при адекватном лечении ребенок будет здоров!
Профилактика
Преждевременно появившиеся на свет дети больше подвержены пневмонии.
Поэтому маме еще на этапе беременности следует соблюдать ряд профилактических правил, которые минимизируют осложнения во время вынашивания плода:
- Во время встать на учет к гинекологу, сдавать весь спектр необходимых анализов, регулярно проходить осмотры у специалистов других профилей.
- Отказаться от вредных привычек во время беременности.
- Сбалансировано питаться для успешного формирования иммунитета будущего ребенка.
- Минимизировать контакты с людьми, зараженными ОРВИ и инфекционными агентами (особенно это касается первого и последнего триместра).
- При малейшем ухудшении самочувствия обращаться к врачу за оказанием помощи.
- По возможности вылечить все имеющиеся хронические заболевания.
Перечисленные меры позволят свести к минимуму риск преждевременных родов и заражение ребенка возбудителями пневмонии.
Здоровье малыша во многом зависит от течения беременности, поэтому стоит подойти к зачатию малыша с полной ответственностью.
Пневмония у детей, рожденных раньше срока, может стать причиной смерти малыша или развития опасных осложнений: сердечной недостаточности, патологического изменения строения органов дыхания, ослабления иммунитета.
Патология лечится в условиях стационара с применением этиотропных препаратов (антибиотиков, противовирусных и противогрибковых средств) и иммуномодулирующих лекарств. Выбрать подходящий препарат для лечения ребенка в каждом конкретном случае врачи смогут только после проведения комплексной диагностики.


