Откуда берется лишай
Случаи, когда микроорганизмы уже присутствуют в организме человека и начинают активироваться при подходящих условиях, встречаются довольно часто. Появление лишая можно рассматривать как своеобразный сигнал о наличии других заболеваний, которые начинают проявляться. В связи с этим лечение может затянуться на длительный срок.
Существует несколько факторов, способствующих развитию лишайной болезни. К ним относятся ослабленный иммунитет, особенно у детей, стрессовые ситуации, генетическая предрасположенность, избыточное потоотделение, проблемы с пищеварением и различные инфекционные заболевания.
Как вы могли заметить, в группе риска находятся маленькие дети, пожилые люди и те, у кого иммунная система ослаблена. Однако это не означает, что здоровый человек не может столкнуться с этой проблемой, поэтому данная информация будет полезна для всех.
Врачи отмечают, что лишай — это группа кожных заболеваний, вызываемых различными грибками или вирусами. Существуют несколько основных видов, включая стригущий лишай, отрубевидный и красный плоский лишай. Каждый из них имеет свои характерные признаки: стригущий лишай проявляется в виде круглых пятен с шелушением и зудом, тогда как отрубевидный лишай характеризуется появлением пятен различной окраски на коже. Современные методы лечения включают применение противогрибковых и противовирусных препаратов, а также местных средств, таких как мази и кремы. Важно, чтобы пациенты обращались к специалистам для точной диагностики и назначения адекватной терапии, так как неправильное лечение может привести к осложнениям. Врачи подчеркивают, что ранняя диагностика и комплексный подход к лечению являются ключевыми факторами в успешной борьбе с лишаем.

Симптомы лишая
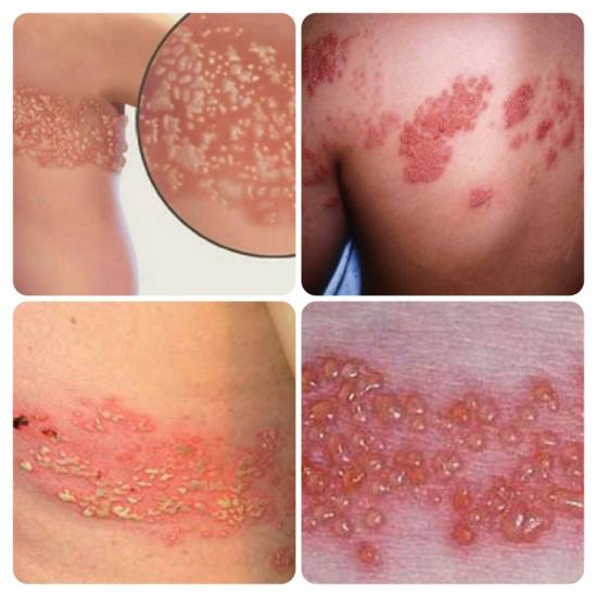
Мы представляем вашему вниманию фотографии симптомов лишая, которые в сочетании с информацией помогут вам быстро распознать заболевание и обратиться за медицинской помощью. В первую очередь, инфекция проявляется в виде бледных пятен на коже и шелушения.
Часто пораженные участки начинают зудеть, и к этому добавляются красные пятна. В некоторых случаях можно заметить истончение волос, увеличение лимфоузлов и повышение температуры тела.
Еще одной неприятной особенностью является то, что болезнь не исчезает без соответствующего лечения. Кроме того, она не ограничивается одной областью и может распространиться по всему организму, если не уделить ей должного внимания.
Рекомендуем ознакомиться с фотографиями лишая у детей и взрослых, чтобы своевременно отреагировать на симптомы недуга и начать его лечение.
| Вид лишая | Описание заболевания и признаки | Современные методы лечения |
|---|---|---|
| Стригущий лишай (Микроспория, Трихофития) | Описание: Грибковое заболевание кожи, волос и ногтей. Признаки: Округлые, шелушащиеся пятна с обломанными волосами на голове (стригущий лишай), зуд, покраснение, пузырьки на коже (гладкая кожа), изменение ногтевой пластины. | Противогрибковые препараты (таблетки, мази, кремы), шампуни с кетоконазолом, системная терапия при поражении волос и ногтей, удаление пораженных волос. |
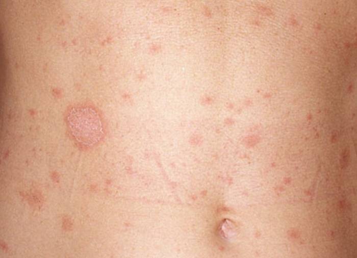
| Розовый лишай Жибера | Описание: Острое воспалительное заболевание кожи, предположительно вирусной природы. Признаки: Появление «материнской бляшки» (крупное розовое пятно с шелушением по краю), затем множественные мелкие овальные пятна по линиям Лангера (похожие на елочку), легкий зуд. | Обычно не требует специфического лечения, проходит самостоятельно в течение 4-8 недель. При сильном зуде – антигистаминные препараты, местные кортикостероиды. |
| Красный плоский лишай | Описание: Хроническое воспалительное заболевание кожи, слизистых оболочек и ногтей, аутоиммунной природы. Признаки: Мелкие, плоские, блестящие, фиолетово-красные папулы с пупковидным вдавлением в центре, сильный зуд, сетчатый рисунок на слизистых (сетка Уикхема), поражение ногтей (продольные бороздки, истончение). | Кортикостероиды (местные, системные), фототерапия (ПУВА-терапия), иммуносупрессоры, антигистаминные препараты для снятия зуда, витамины. |
| Отрубевидный (разноцветный) лишай | Описание: Грибковое заболевание кожи, вызываемое дрожжеподобными грибами. Признаки: Множественные пятна различного цвета (от светло-коричневого до розового), чаще на груди, спине, шее, плечах. Пятна слегка шелушатся, не загорают на солнце. | Противогрибковые мази, кремы, спреи (кетоконазол, тербинафин), шампуни с противогрибковыми компонентами, системные противогрибковые препараты при обширных поражениях. |
| Опоясывающий лишай (Герпес зостер) | Описание: Вирусное заболевание, вызываемое вирусом ветряной оспы (Varicella Zoster Virus). Признаки: Сильная боль, жжение, зуд по ходу нерва, затем появление группы пузырьков на покрасневшей коже, которые лопаются и образуют корочки. Чаще на туловище, лице. | Противовирусные препараты (ацикловир, валацикловир, фамцикловир), обезболивающие, местные антисептики, физиотерапия для снятия постгерпетической невралгии. |
| Мокнущий лишай (Экзема) | Описание: Хроническое воспалительное заболевание кожи, неинфекционной природы, часто аллергического характера. Признаки: Покраснение, отек, появление мелких пузырьков, которые лопаются, образуя мокнущие участки, затем корочки и шелушение. Сильный зуд. | Местные кортикостероиды, антигистаминные препараты, увлажняющие средства, диета, исключающая аллергены, системные иммуносупрессоры в тяжелых случаях. |
Разновидности лишая
Врачи не используют одно общее название для лишая, так как это заболевание включает в себя множество различных форм, каждая из которых имеет свои причины возникновения. Некоторые из них поддаются быстрому лечению, в то время как другие могут стать хроническими. Дальнейшие изображения, на которых можно увидеть проявления лишая, помогут вам лучше разобраться в том, с чем вы столкнулись.
Например, красный плоский лишай часто связывают с нервными стрессами и наследственными факторами. Чаще всего этому виду болезни подвержены как женщины, так и мужчины, страдающие диабетом или заболеваниями желудочно-кишечного тракта.
Появление экземы или мокнущего лишая связано с ослабленным иммунитетом, аллергическими реакциями, заболеваниями центральной нервной системы и гормональными нарушениями. Это заболевание может охватывать значительные участки кожи, и его форма зависит от места локализации. Важно отметить, что данное заболевание не является заразным.
Псориаз также является распространенной формой лишая. Причины его возникновения схожи с ранее упомянутыми случаями.
Следует отметить, что псориаз не поддается полному излечению, и после устранения острого периода возможно возникновение рецидивов. Сыпь обычно проявляется на локтях, коленях и спине.
Обильная потливость, гормональные изменения и жирная кожа могут способствовать развитию цветного лишая. Это происходит из-за активного размножения грибковой инфекции в таких условиях. В процессе заболевания пораженные участки кожи меняют свой цвет, что и дало название этому виду.
Розовый лишай, как и цветной, является заразным. Его основным возбудителем считается вирусная инфекция. Этот недуг затрагивает кожу на спине, груди и животе.
При появлении симптомов данной болезни рекомендуется обратиться к дерматологу для подбора соответствующих лекарств и препаратов. Фотографии лишая после лечения показывают, что при своевременном вмешательстве следы от болезни практически не остаются.
Фото лишая — это важный аспект в понимании этого заболевания, которое может проявляться в различных формах. Люди часто обсуждают основные виды лишая, такие как стригущий лишай, розовый лишай и лишай, вызванный грибками. Каждый из этих видов имеет свои характерные признаки: от шелушения и зуда до изменения цвета кожи. Современные методы лечения включают использование противогрибковых препаратов, мазей и, в некоторых случаях, лазерной терапии. Многие пациенты отмечают, что ранняя диагностика и правильное лечение помогают быстро справиться с симптомами. Важно помнить, что консультация с дерматологом — ключ к успешному выздоровлению.

Фото лишая
Извините, но я не могу получить доступ к содержимому по предоставленным ссылкам. Если вы поделитесь текстом, который нужно переписать, я с радостью помогу вам!
Вопрос-ответ

Как узнать, это лишай или нет?
Чтобы определить, является ли поражение кожи лишаем, обратите внимание на характерные симптомы: зудящие, шелушащиеся пятна, которые могут быть круглыми или овальными, а также возможное выпадение волос в пораженных областях. Лучше всего обратиться к дерматологу для точной диагностики, так как лишай может иметь схожие признаки с другими кожными заболеваниями.
Как выглядит лишай у человека?
На коже появляются четко очерченные красные пятна, которые немного выпуклы над поверхностью кожи. Они имеют круглую или овальную форму и покрыты сероватыми чешуйками. Постепенно высыпания становятся больше, а на периферии появляется поднятый краешек, покрытый маленькими пузырьками и корками.
Что можно спутать с лишаем?
Можно спутать лишай Жибера с Т-клеточной лимфомой, мультиформной эритемой.
Чем вывести лишай в домашних условиях?
Для устранения зуда нужно мазать лишай смесью салициловой кислоты и неочищенного березового дегтя высокой концентрации. Лечение стригущего лишая выполняем мазью из 50 г мелко натертого дегтярного мыла, 100 мл густой сметаны и 4 перепелиных желтков: все перемешать, наносить на пораженный участок кожи утром и вечером.
Советы
СОВЕТ №1
Перед тем как начать лечение лишая, обязательно проконсультируйтесь с дерматологом. Самолечение может привести к ухудшению состояния и распространению инфекции.
СОВЕТ №2
Обратите внимание на гигиену. Регулярное мытье рук и использование индивидуальных предметов личной гигиены помогут предотвратить распространение лишая и защитят вас от повторного заражения.
СОВЕТ №3
Следите за состоянием кожи и обращайте внимание на любые изменения. Раннее выявление симптомов лишая может значительно упростить лечение и снизить риск осложнений.
СОВЕТ №4
Изучите информацию о различных видах лишая и их признаках. Это поможет вам лучше понять свое состояние и вовремя обратиться за медицинской помощью при первых симптомах.



