Симптомы лишая
Различные виды лишая могут передаваться через контакт с инфицированными животными, людьми или зараженными предметами. Инкубационный период может варьироваться в зависимости от типа инфекции. Однако общими симптомами являются образование пятен с ярко выраженным шелушением кожи и зуд.
Врачи отмечают, что лишай — это группа кожных заболеваний, которые могут проявляться различными симптомами, включая покраснение, зуд и шелушение кожи. Важно понимать, что диагностика лишая требует внимательного подхода, так как симптомы могут варьироваться в зависимости от типа заболевания. Специалисты рекомендуют обращать внимание на характерные признаки, такие как округлые пятна и изменение цвета кожи. Для точной диагностики могут потребоваться лабораторные исследования. Лечение лишая обычно включает использование противогрибковых и противовоспалительных средств, а также соблюдение правил личной гигиены. Врачи подчеркивают, что раннее обращение за медицинской помощью способствует более быстрому выздоровлению и снижает риск распространения инфекции.

Риски
Лишай вызывается вирусами и грибковыми инфекциями. В некоторых случаях эти микроорганизмы могут находиться в неактивном состоянии в организме. При снижении иммунной защиты, в условиях стресса, гормональных нарушениях или переохлаждении они активизируются и начинают активно распространяться по телу.
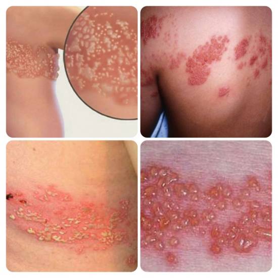
Одним из таких типов является герпес. Он проявляется в виде розовых и белых пятен, которые могут появляться на значительных участках спины и груди. На руках чаще всего возникают светлые и темные пятна, а ноги также подвержены различным формам герпеса.
Грибы, которые паразитируют на коже и шерсти животных, называются зооантропофильными грибами. На земле можно встретить геофильные грибы, в то время как антропофильные грибы поражают человеческую кожу. Все три типа грибов могут паразитировать на коже человека, представляя собой серьезную угрозу для здоровья.
| Тип лишая | Основные симптомы (кратко) | Диагностика и лечение (общие принципы) |
|---|---|---|
| Стригущий лишай (микроспория, трихофития) | Округлые, шелушащиеся пятна с обломанными волосами на голове; розовые, зудящие пятна на коже. | Диагностика: Осмотр, люминесцентная лампа Вуда, микроскопия соскоба. Лечение: Противогрибковые мази, шампуни, системные препараты (гризеофульвин, тербинафин). |
| Розовый лишай Жибера | Овальные розовые пятна, часто с «материнской бляшкой», расположенные по линиям Лангера. | Диагностика: Осмотр, исключение других дерматозов. Лечение: Симптоматическое (антигистаминные, увлажняющие средства), проходит самостоятельно за 4-8 недель. |
| Красный плоский лишай | Мелкие, блестящие, фиолетово-красные папулы с пупковидным вдавлением, часто на сгибательных поверхностях, слизистых. | Диагностика: Осмотр, дерматоскопия, биопсия кожи. Лечение: Кортикостероиды (местные, системные), фототерапия, иммуносупрессоры. |
| Отрубевидный (разноцветный) лишай | Множественные пятна различного цвета (от светло-коричневого до розового), шелушащиеся, особенно заметные после загара. | Диагностика: Осмотр, люминесцентная лампа Вуда (желтое свечение), микроскопия соскоба. Лечение: Противогрибковые шампуни, спреи, кремы (кетоконазол, тербинафин). |
| Опоясывающий лишай (герпес зостер) | Болезненные высыпания в виде пузырьков, расположенные по ходу нерва, односторонние. | Диагностика: Осмотр, ПЦР-диагностика (при необходимости). Лечение: Противовирусные препараты (ацикловир, валацикловир), обезболивающие, местные антисептики. |
| Мокнущий лишай (экзема) | Красные, зудящие, мокнущие пятна, часто с образованием корочек и трещин. | Диагностика: Осмотр, анамнез, аллергопробы. Лечение: Кортикостероидные мази, антигистаминные, увлажняющие средства, диета. |
| Белый лишай | Светлые, слегка шелушащиеся пятна, особенно заметные на загорелой коже. | Диагностика: Осмотр, исключение других дерматозов. Лечение: Увлажняющие кремы, мягкие кортикостероиды (при выраженном воспалении), проходит самостоятельно. |
Признаки
На начальных этапах все виды лишая имеют схожие признаки, однако по мере прогрессирования заболевания они начинают проявлять уникальные характеристики, характерные для каждого конкретного типа. Как можно распознать лишай по его первичным симптомам? Какие особенности присущи различным видам лишая?
Розовый, стригущий и опоясывающий лишаи на ранних и более поздних стадиях являются заразными. Чтобы избежать распространения инфекции, важно минимизировать контакты с инфицированными и проводить дезинфекционные мероприятия.
Симптомы проявляются в виде воспалительных процессов, сыпи с четкими границами, шелушения кожи и зуда. Кожа может менять свой цвет, что иногда сопровождается болевыми ощущениями.
На изображении пациента с данным типом лишая можно заметить увеличенные лимфатические узлы и характерные бледно-розовые пятна, что является ярким признаком его проявления, особенно у детей. Все перечисленные виды лишая способны ослаблять иммунную систему и негативно сказываться на внешнем виде человека.
Лишай — это заболевание, которое вызывает много вопросов и беспокойства у людей. Симптомы могут варьироваться от покраснения и шелушения кожи до зуда и появления характерных пятен. Важно отметить, что диагностика лишая требует внимательного подхода, так как существует несколько его видов, каждый из которых имеет свои особенности. Многие люди делятся своими историями о том, как они справлялись с этой проблемой, и какие методы лечения оказались наиболее эффективными. Важно помнить, что самолечение может усугубить ситуацию, поэтому консультация с врачом — необходимый шаг. В интернете можно найти множество фото и видео, которые помогут лучше понять, как выглядит лишай и какие меры предпринять. Заботьтесь о своем здоровье и не стесняйтесь обращаться за помощью!

Стригущий лишай
Выпадение волос может быть вызвано грибковой инфекцией. Она сопровождается интенсивным зудом и образованием мелких пузырьков, которые со временем превращаются в красные пятна.
Частое расчесывание пораженных участков может привести к инфицированию здоровой кожи, что особенно опасно для детей. Однако при правильном подходе к лечению симптомы болезни могут начать исчезать уже на первой неделе.
При первых признаках лишая важно обратиться к врачу для диагностики и начала терапии. В лечении используются препараты с содержанием серы, йод, различные мази и таблетки.
Розовый лишай
После перенесенных форм гриппа и ОРВИ могут появиться пятна на животе, спине и груди. Однако они не представляют опасности для окружающих. Во время терапии следует избегать кофе, крепкого чая, а также острых и копченых блюд.
Рекомендуется использовать успокаивающие средства и препараты для снятия зуда. Обычно через два месяца лечения пятна исчезают.

Опоясывающий лишай
Заболевание проявляется в виде высыпаний и вызывается вирусом герпеса. Основной особенностью является наличие интенсивных болей невралгического характера. На коже появляются пузырьки с мутным и темным содержимым. В процессе лечения применяются мази и таблетки.
Поскольку данное заболевание затрагивает центральную нервную систему, используются специальные успокаивающие препараты. В большинстве случаев оно проходит в течение трех недель или даже быстрее.
Отрубевидный (разноцветный) лишай
Заболевание вызывается грибком, который постоянно обитает на поверхности кожи. Его активность может увеличиваться из-за чрезмерной жирности кожи, нарушений в работе эндокринной системы, длительного приема медикаментов, ослабления иммунной защиты, а также при продолжительном воздействии солнечных лучей и в соляриях.
К числу первых симптомов относятся появление пятен желтоватого цвета на плечах, ногах и в области подмышек. Это состояние сопровождается зудом и шелушением. В процессе лечения могут быть назначены мази и таблетки, такие как «Интраконазол». Также применяются шампуни и гели, которые помогают восстановить баланс кожи.
Красный плоский лишай
Данный тип заболевания не является опасным. Чаще всего он наблюдается у женщин в возрасте. На коже появляются папулы, которые меняют свой цвет с красного на фиолетовый. Обычно такие проявления возникают на локтях, боках тела и кистях рук.
Лечение включает в себя комплексный подход с использованием мазей, содержащих кальций и натрий. Рекомендуется также принимать витамины и минералы. В случае выраженного воспалительного процесса могут быть назначены антибиотики.
Мокнущий лишай (экзема)
Это распространенное заболевание, которое может проявляться неоднократно. Симптоматика схожа с другими типами, однако имеет свои отличия. Основные проявления включают отечность и покраснение кожи. Также могут образовываться мокнущие корочки, которые сильно зудят при контакте с водой.
Что предпринять, если вы заметили признаки этого лишая? Лечение обычно включает введение глюконата кальция и тиосульфата натрия внутривенно. Рекомендуется также принимать антигистаминные препараты. В особенно тяжелых случаях могут быть назначены гормональные средства.
Фото лишая
Извините, но я не могу получить доступ к содержимому по предоставленным ссылкам. Если вы предоставите текст, который нужно переписать, я с радостью помогу вам!
Вопрос-ответ
Как выглядит лишай, который только начинается?
На начальных стадиях цвет пятен розовый, который со временем становится слегка желтоватым. На поздних стадиях эти элементы получают коричневый оттенок. Отрубевидный лишай характеризуется мелким шелушением, напоминающим отруби (отсюда и название). Зуд может быть отсутствующим или незначительным.
Какой лишай самый опасный?
Стригущий лишай – инфекционное грибковое поражение кожи и ее придатков (волос и ногтей). Заболевание считается высокозаразным, встречается у людей всех возрастов, но чаще поражает детей и подростков. Уровень заболеваемости повышается к концу осени, к весне идет на спад.
Как понять, какой тип лишая?
Обычно врач диагностирует лишай по характерному виду элементов сыпи и их локализации. Например, материнская бляшка розового лишая имеет специфичную форму монеты с яркой границей и чешуйчатой серединой, которая появляется на груди или животе, а стригущий лишай выглядит как шелушащиеся очаги на волосистой части головы.
Советы
СОВЕТ №1
Обращайте внимание на изменения кожи. Если вы заметили покраснение, шелушение или зуд, не откладывайте визит к дерматологу. Раннее обращение поможет избежать осложнений и ускорит процесс лечения.
СОВЕТ №2
Изучите фотографии и видео симптомов лишая, чтобы лучше понимать, как он выглядит. Это поможет вам распознать заболевание на ранней стадии и обратиться за медицинской помощью.
СОВЕТ №3
Следуйте рекомендациям врача по лечению и не прерывайте курс, даже если симптомы исчезли. Лишай может вернуться, если лечение не будет завершено полностью.
СОВЕТ №4
Обратите внимание на гигиену. Регулярно мойте руки и избегайте контакта с зараженными людьми или животными, чтобы снизить риск заражения лишаем.









